หมอนิษฐา โพสต์ภาพปอดผู้ป่วยโควิด 19 ที่กว่าจะได้ตรวจก็ผ่านไป 9 วัน เห็นสภาพเนื้อปอดโดนกินไปเยอะแล้ว ชี้ มาช้ามาก ๆ และการไม่ให้ตรวจก็ไม่ใช่คำตอบ เชื่อ ศักยภาพ กทม. ตรวจได้เยอะกว่านี้ แต่ไม่ทำเพราะกฎเพี้ยน ๆ
ภาพจาก เฟซบุ๊ก Nittha Oer-areemitr
สถานการณ์โควิด 19 ของไทยตอนนี้ นับตั้งแต่มีการระบาดระลอกเดือนเมษายน 2564 ก็ถือว่าแย่ลงเรื่อย ๆ โดยมีการทำลายสถิติยอดผู้ป่วยสูงสุดต่อวันหลัก 7,000 คนไปเรียบร้อยแล้ว พร้อมกันนั้น ยังเกิดสถานการณ์ที่คนไม่สามารถตรวจเชื้อได้อีกเพียบ ทำให้ไม่รู้ว่าตกลงใครเป็นหรือไม่เป็นกันแน่
ล่าสุด วันที่ 9 กรกฎาคม 2564 พญ.นิษฐา เอื้ออารีมิตร แพทย์อายุรศาสตร์โรคระบบทางเดินหายใจ มีการโพสต์ข้อความผ่านเฟซบุ๊ก Nittha Oer-areemitr เล่าถึงสิ่งที่พบเจอในปัจจุบันว่า
การที่ไม่ให้คนตรวจโควิด-19 ไม่ใช่ทางออก เพราะคนกลุ่มนี้เขาตระเวนไปตรวจหลายที่ แต่ก็หาที่ตรวจไม่ได้ สุดท้ายก็ต้องมาโรงพยาบาล ทางโรงพยาบาลก็ต้องทำให้เขาอยู่ดี ส่วนผลการรักษาก็ค่อนข้างชัดเจนว่า เข้าขั้นแย่ เนื่องจากการที่เดินทางมารักษาช้า
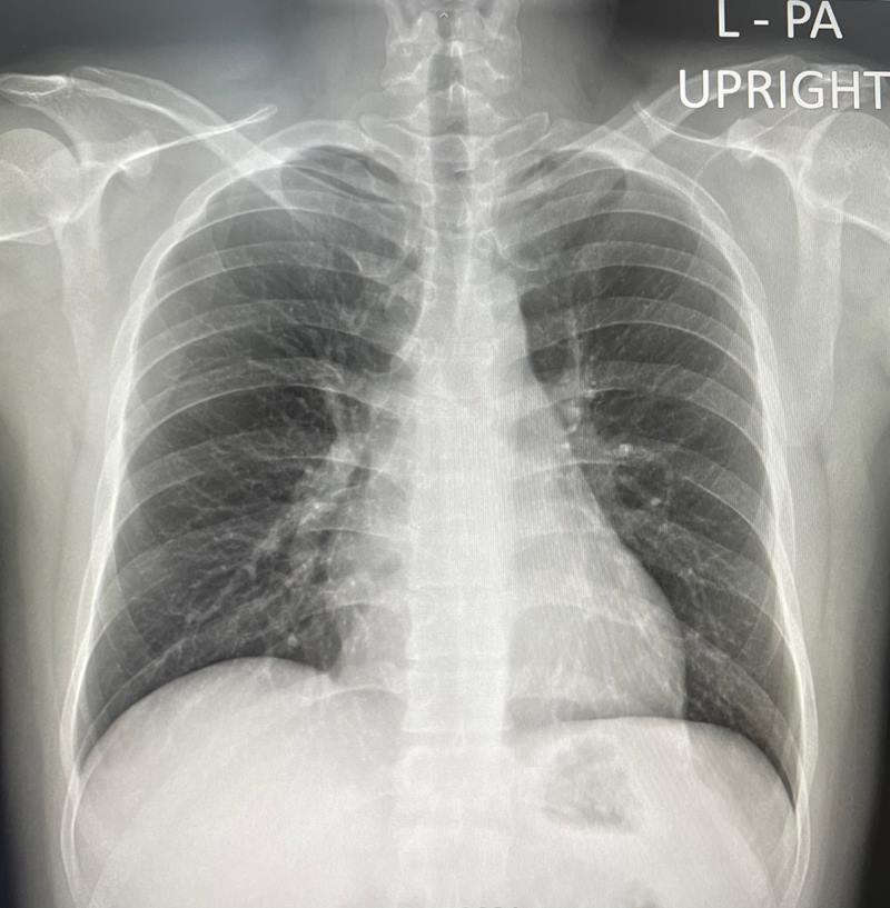
สำหรับภาพที่โพสต์นั้น คือภาพฟิล์มคนไข้ที่ป่วยมา 9 วันแล้ว ไปที่ไหนก็ไม่มีใครตรวจให้จนต้องมาตรวจที่นี่ ซึ่งจากภาพเห็นว่า มีฝ้าขาวกินเนื้อปอดไปเยอะแล้ว ดังนั้นอยากให้ผู้มีอำนาจแก้ไขเรื่องนี้โดยเร็ว ตรวจให้เยอะ แยกคนไข้ให้เร็ว หาเตียงให้พอเพื่อลดระดับผู้ป่วยขั้นวิกฤตให้ได้มากที่สุด
เสียงจากประชาชน
ด้านคนที่อ่านเรื่องนี้ก็โพสต์ทำนองเดียวกันว่า ทุกวันนี้เจอปัญหาอย่างที่ว่าจริงคือ หาที่ตรวจยากมาก ต้องวิ่งตรวจ 4 วันกว่าจะได้ตรวจ อยากจะแนะให้รัฐบาลหาที่ตรวจ Rapid Test มาให้ประชาชน จะได้ตรวจเองได้ที่บ้านเลย ไม่ต้องไปโรงพยาบาลให้เสียเวลาและเสียความรู้สึกที่ไม่ได้ตรวจอีก






