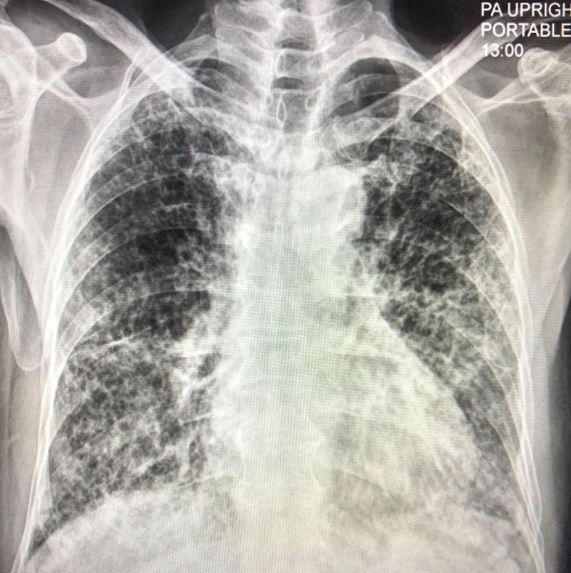
หมอมนูญ เผยภาพปอดผู้ป่วยโควิด 19 สายพันธุ์อัลฟาหรือสายพันธุ์อังกฤษ พบเล่นงานในปอดรุนแรงกว่าพันธุ์ก่อน ๆ ใช้เวลาหลายเดือนหรือเป็นปีกว่าจะฟื้น โดยผู้ป่วยอยู่ในวัย 80 ปี แนะทางออกนี้คือให้รีบฉีดวัคซีนโควิด 19 อย่างเร็วที่สุด
วันที่ 10 มิถุนายน 2564 เฟซบุ๊ก หมอมนูญ ลีเชวงวงศ์ FC มีการเปิดเผยภาพปอดล่าสุดของผู้ป่วยโควิด 19 สายพันธุ์อัลฟาหรือสายพันธุ์อังกฤษ ซึ่งเป็นสายพันธุ์หลักที่กำลังระบาดในประเทศไทยตอนนี้ พบว่า เชื้อโควิดติดต่อกันง่ายมาก และมีการเพิ่มจำนวนในร่างกายอย่างรวดเร็ว เล่นงานปอดรุนแรงกว่าเดิมในรอบก่อน คนที่หายป่วยปอดก็ยังเสียหายมาก ใช้เวลาหลายเดือนหรือเป็นปี กว่าปอดจะกลับมาดีอีกครั้ง
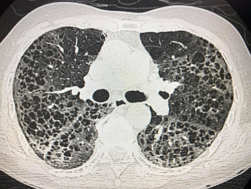
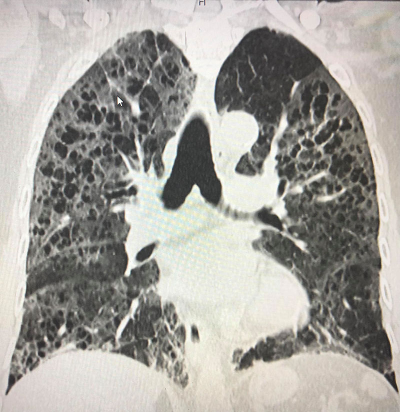
สำหรับเจ้าของปอดรายนี้ เป็นชายไทยวัย 80 ปี ไม่ดื่มเหล้า ไม่สูบบุหรี่ ติดเชื้อจากลูกหลานที่มาเยี่ยม เมื่อเอกซเรย์ปอดพบฝ้าขาว 2 ข้าง พอสแกนปอดพบเนื้อเยื่อปอดอักเสบรุนแรง มีทั้งฝ้าขาว รอยโรคเหมือนร่างแห และลักษณะผิดปกติคล้ายรังผึ้งกระจายทั่วไป
ส่วนการรักษาต้องใช้ออกซิเจนมากถึง 10 ลิตรต่อนาทีตลอดเวลา นอนรักษาตัวที่โรงพยาบาลตั้งแต่ 16 เมษายน ถึง 22 พฤษภาคม 2564
หลังจากติดโควิด-19 ได้ 8 สัปดาห์ ก็มีไอเล็กน้อย ไม่มีไข้ เดินนิดเดียวก็เหนื่อย ต้องใช้ออกซิเจน 4 ลิตรต่อนาทีตลอดเวลา ถึงระดับออกซิเจนในเลือดจะมาอยู่ที่ 95% ถ้าไม่ใช้ออกซิเจนช่วยจะลดลงต่ำกว่า 80%
ทั้งนี้ ทางแก้ที่ดีที่สุดในตอนนี้คือ ให้ทุกคนเร่ง ลงทะเบียนฉีดวัคซีนโควิด 19 และไปฉีดวัคซีนให้ได้เร็วที่สุด เพื่อไม่ให้เกิดเหตุการณ์นี้กับตัวเองและคนที่คุณรักอีก
วันที่ 10 มิถุนายน 2564 เฟซบุ๊ก หมอมนูญ ลีเชวงวงศ์ FC มีการเปิดเผยภาพปอดล่าสุดของผู้ป่วยโควิด 19 สายพันธุ์อัลฟาหรือสายพันธุ์อังกฤษ ซึ่งเป็นสายพันธุ์หลักที่กำลังระบาดในประเทศไทยตอนนี้ พบว่า เชื้อโควิดติดต่อกันง่ายมาก และมีการเพิ่มจำนวนในร่างกายอย่างรวดเร็ว เล่นงานปอดรุนแรงกว่าเดิมในรอบก่อน คนที่หายป่วยปอดก็ยังเสียหายมาก ใช้เวลาหลายเดือนหรือเป็นปี กว่าปอดจะกลับมาดีอีกครั้ง
สำหรับเจ้าของปอดรายนี้ เป็นชายไทยวัย 80 ปี ไม่ดื่มเหล้า ไม่สูบบุหรี่ ติดเชื้อจากลูกหลานที่มาเยี่ยม เมื่อเอกซเรย์ปอดพบฝ้าขาว 2 ข้าง พอสแกนปอดพบเนื้อเยื่อปอดอักเสบรุนแรง มีทั้งฝ้าขาว รอยโรคเหมือนร่างแห และลักษณะผิดปกติคล้ายรังผึ้งกระจายทั่วไป
ส่วนการรักษาต้องใช้ออกซิเจนมากถึง 10 ลิตรต่อนาทีตลอดเวลา นอนรักษาตัวที่โรงพยาบาลตั้งแต่ 16 เมษายน ถึง 22 พฤษภาคม 2564
หลังจากติดโควิด-19 ได้ 8 สัปดาห์ ก็มีไอเล็กน้อย ไม่มีไข้ เดินนิดเดียวก็เหนื่อย ต้องใช้ออกซิเจน 4 ลิตรต่อนาทีตลอดเวลา ถึงระดับออกซิเจนในเลือดจะมาอยู่ที่ 95% ถ้าไม่ใช้ออกซิเจนช่วยจะลดลงต่ำกว่า 80%
ทั้งนี้ ทางแก้ที่ดีที่สุดในตอนนี้คือ ให้ทุกคนเร่ง ลงทะเบียนฉีดวัคซีนโควิด 19 และไปฉีดวัคซีนให้ได้เร็วที่สุด เพื่อไม่ให้เกิดเหตุการณ์นี้กับตัวเองและคนที่คุณรักอีก
>> อ่านข้อมูลและติดตามสถานการณ์ COVID-19 << ได้ที่นี่










