เผยเรื่องสุดเศร้า เมื่อลูกสาวกลับมาจากต่างประเทศ แต่ไม่ได้กักตัว คลุกคลีคนในบ้านตามปกติ สุดท้ายพาเชื้อโควิด 19 ติดแม่ อาการโคม่า ต้องเข้าห้องไอซียู
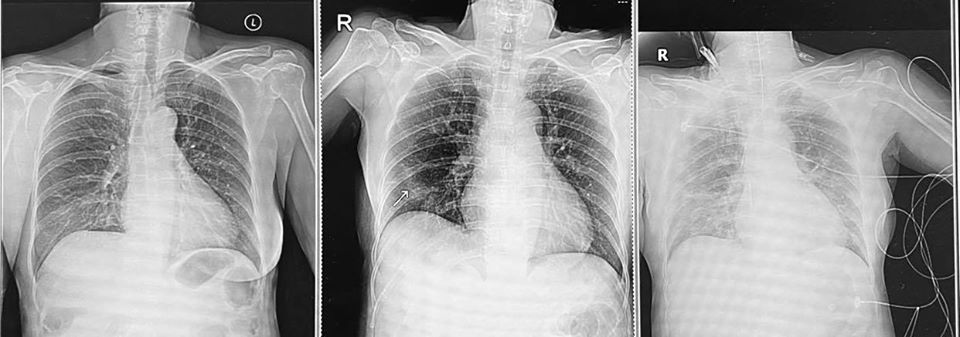
วันที่ 6 เมษายน 2563 เฟซบุ๊ก Opass Putcharoen ของ นพ.โอภาส พุทธเจริญ จากหน่วยโรคติดเชื้อ ภาควิชาอายุรศาสตร์ คณะแพทยศาสตร์ จุฬาลงกรณ์มหาวิทยาลัย มีการโพสต์เรื่องราวของหญิงสาวรายหนึ่งว่า เธอเพิ่งกลับมาจากต่างประเทศ โดยที่ร่างกายไม่มีอะไรผิดปกติเกี่ยวกับโควิด 19 ดังนั้น จึงไม่ได้เคร่งครัดเรื่องการกักตัว 14 วัน และอยู่คลุกคลีกับคนในบ้านตามปกติ
อย่างไรก็ตาม เมื่อเธอเริ่มมีอาการเหมือนเป็นหวัด ถึงเริ่มแยกตัวจากคนในบ้าน แต่ก็ไม่ทันเสียแล้ว เมื่อแม่ของเธอกลับมีอาการปอดอักเสบ ระบบหายใจล้มเหลวอย่างรวดเร็วจนต้องใส่ท่อช่วยหายใจ และย้ายเข้าห้องไอซียู อาการโคม่าอยู่ในขณะนี้
ดังนั้น ทาง นพ.โอภาส โพสต์ทิ้งท้ายว่า หากกลับมาจากต่างประเทศยังไงก็ต้องกักตัวครบ 14 วัน เพื่อลดโอกาสการแพร่กระจายเชื้อไวรัสโคโรน่า อีกทั้งช่วงหลังมานี้ คนที่ติดเชื้อส่วนใหญ่มักเกิดจากคนที่เดินทางกลับจากต่างประเทศ
วันที่ 6 เมษายน 2563 เฟซบุ๊ก Opass Putcharoen ของ นพ.โอภาส พุทธเจริญ จากหน่วยโรคติดเชื้อ ภาควิชาอายุรศาสตร์ คณะแพทยศาสตร์ จุฬาลงกรณ์มหาวิทยาลัย มีการโพสต์เรื่องราวของหญิงสาวรายหนึ่งว่า เธอเพิ่งกลับมาจากต่างประเทศ โดยที่ร่างกายไม่มีอะไรผิดปกติเกี่ยวกับโควิด 19 ดังนั้น จึงไม่ได้เคร่งครัดเรื่องการกักตัว 14 วัน และอยู่คลุกคลีกับคนในบ้านตามปกติ
อย่างไรก็ตาม เมื่อเธอเริ่มมีอาการเหมือนเป็นหวัด ถึงเริ่มแยกตัวจากคนในบ้าน แต่ก็ไม่ทันเสียแล้ว เมื่อแม่ของเธอกลับมีอาการปอดอักเสบ ระบบหายใจล้มเหลวอย่างรวดเร็วจนต้องใส่ท่อช่วยหายใจ และย้ายเข้าห้องไอซียู อาการโคม่าอยู่ในขณะนี้
ดังนั้น ทาง นพ.โอภาส โพสต์ทิ้งท้ายว่า หากกลับมาจากต่างประเทศยังไงก็ต้องกักตัวครบ 14 วัน เพื่อลดโอกาสการแพร่กระจายเชื้อไวรัสโคโรน่า อีกทั้งช่วงหลังมานี้ คนที่ติดเชื้อส่วนใหญ่มักเกิดจากคนที่เดินทางกลับจากต่างประเทศ
>> อ่านข้อมูลและติดตามสถานการณ์ COVID-19 << ได้ที่นี่







