อาจารย์หมอ รพ.ศิริราช เผยสภาพปอดคนป่วยโควิด 19 เทียบกับของคนปกติ ชี้คนไข้ขั้นวิกฤต ถ้าถึงมือหมอเร็ว ยอดตายจะลด คาดไม่เกิน 40 เปอร์เซ็นต์
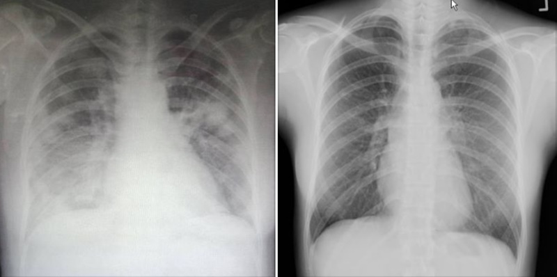
โดยได้มีการเปิดเผยสภาพปอดผู้ป่วยโควิด 19 จากภาพเอกซเรย์ ซึ่งเป็นผู้ป่วยรายล่าสุดที่ รพ.ศิริราช รับการส่งต่อมาจาก รพ. เอกชน แห่งหนึ่ง
ทั้งนี้ ภาพทางซ้ายมือ จะเป็นภาพของผู้ป่วยโควิด 19 ส่วนภาพทางขวามือ จะเป็นภาพของปอดคนปกติ โดยเมื่อเทียบกันแล้ว ภาพคนปกติจะไม่มีฝ้าขาวในปอดแต่อย่างใด ต่างกับคนที่ป่วยโควิด 19 ฝ้าขาวจะเห็นเด่นชัดในฟิล์มเอกซเรย์
อาจารย์หมอ กล่าวยืนยันว่า ผู้ป่วยในขั้นวิกฤตของไทยขณะนี้ที่มีตัวเลขเพิ่มขึ้นอย่างช้า ๆ หรือ ราว 60 คน สำหรับใน กทม. มีผู้ป่วยราว 80 เปอร์เซ็นต์ ของทั้งประเทศ มีผู้รอดชีวิตแล้วราว 10 ราย ที่เหลือก็น่าจะรอดได้กว่าครึ่ง โดยรวมแล้ว อัตราการเสียชีวิตในประเทศไทยประมาณ 1 เปอร์เซ็นต์ ของผู้ติดเชื้อ แต่ถ้าเป็นผู้ป่วยวิกฤตโควิด 19 ในไอซียู อัตราการเสียชีวิตในขั้นต้นของเราขณะนี้อยู่ที่ราว 25 เปอร์เซ็นต์
ทั้งนี้ เชื่อว่าถ้ามาถึงมือเราเร็ว ได้ยาเร็ว และรักษาภายใต้เงื่อนไขที่ปริมาณคนไข้โรคเดียวกันนี้ไม่ได้ล้นมือ เราน่าจะทำให้อัตราการเสียชีวิตของผู้ป่วยวิกฤตโควิด 19 ไม่เกิน 40 เปอร์เซ็นต์ได้แน่นอน
>> อ่านข้อมูลและติดตามสถานการณ์ COVID-19 << ได้ที่นี่
อ่านรายละเอียดเพิ่มเติมจาก เฟซบุ๊ก นิธิพัฒน์ เจียรกุล
ข้อมูลเพิ่มเติม อาการโควิด








